文章
领健口腔病历管理系统重磅总结!最新《口腔正畸无托槽隐形矫治技术指南》5大点解读
/在: 行业文章 /通过: 领健君01
应用无托槽隐形矫治技术过程中会存在哪些风险?
隐形矫治过程中,除了常见的各种正畸并发症以外,最容易出现的是脱轨现象,主要由三方面原因引起的:
1)隐形矫治器本身材质的问题;
2)每个治疗的病人本身存在的个体差异问题;
3)隐形矫治过程中牙齿的移动风险。无托槽隐形矫治技术中的牙齿移动问题是指牙周组织对所受到矫治力的生物力学反应,由于隐形矫治器不像传统粘接在牙齿表面的刚性物体,所以对于正畸牙与隐形矫治器之间会形成一种较为复杂的相互力,加之我们无法确认牙齿作用力的部位以及产生的力量,使得牙齿的矫治有一定的难度性。本指南中尤其建议:对于复杂的牙齿移动可重新治疗或者借助固定矫治器以及其他的辅助装置。
患者良好的依从性、专业的正畸医师以及资质合格的生产厂家均能降低此医疗风险。
02
无托槽隐形矫治技术适用于哪些患者?

03
无托槽隐形矫治技术病例资料如何采集?
04
无托槽隐形矫治方案该如何设计?
05
对于无托槽隐形矫治,可选择哪些治疗策略?
原创不易,点个在看你最好看


</sec
领健诊所管理软件之口腔诊所回访话术总结
/在: 行业经验分享-医美 /通过: 领健君领健诊所管理软件之口腔诊所回访话术总结
1.治疗效果认可的,就可以再次开发其他治疗项目。
2.口腔治疗是需要一个循序渐进的过程。
3.每个人对于药物/治疗方案的敏感度不一样,所以效果体现有快有慢。
4.个例在任何地方都是有的,不排除个例出现,出现个例肯定是有原因的,首先要做的是查找原因,帮助患者解决,而不是推卸责任。
5.低素质的人群在哪里都是有的,对于这样的患者,我们要让他发泄,患者发火,我们不能发火,先求同再求异。

回访人员:您好!您是XXX吗?(确定患者信息)
患者:是的,我是。
回访人员:您好,我是***诊所的,我姓X,给您来电是想了解一下,您在***诊所治疗后的情况,因为您在治疗后,没有给我们来电反映治疗情况,也没有及时到诊所复诊,本着对患者负责的态度,所以给您来电,打扰您了,还请您见谅。可以耽误您几分钟时间,问您几个简单的问题吗?让我们了解您在治疗后的情况怎么样?领健诊所管理软件
任何情况下,在结束对话的尾声,都应该要或多或少的在饮食生活方面给患者一些建议,让患者感受到我们确实是想要帮助他,而不是一听患者不想过来就直接挂断电话或是态度非常恶劣,这样会让访客永远的把我们的诊所拉进黑名单。
领健牙医客户管理系统免费领取《社区全科口腔医师临床实践》
/在: 官网更新 /通过: 领健君领健牙医客户管理系统免费领取《社区全科口腔医师临床实践》


▼
内容简介
目录
(上下滑动查看目录详情)
第1章 社区口腔卫生保健
第2章 口腔保健与疾病预防
第3章 口腔检查与疾病历书写
第4章 龋病
第5章 非龋性牙体疾病
第6章 牙髓病和根尖周病
第7章 牙龈病
第8章 牙周炎
第9章 口腔黏膜病
第10章 儿童牙病
第11章 牙槽突外科
第12章 口腔颌面部感染
第13章 固定修复
第14章 可摘局部义齿
第15章 全口义齿
第16章 四手操作和口腔护理
第17章 医患交流与沟通
第18章 口腔科临床常用材料
参考文献
附录A北京市社区卫生服务专业人员岗位标准
附录B卫生部社区口腔专业人员岗位培训大纲
领健口腔诊所管理软件病例分享丨e看牙App社区月度精选病例集锦
/在: 口腔产品更新快递 /通过: 领健君领健君精选出e看牙社区月度病例集锦,欢迎口腔医生们在下方评论区或e看牙App社区踊跃发言。
更多优秀病例欢迎进入e看牙App社区查看。
文末还有限时200元体验价值900元的义获嘉高端美学全瓷牙报名通道,不容错过!
病例1
友睦口腔 李佳其:好久没有补前牙了。发一个前牙多颗龋坏的充填病例的一周回访。



病例2
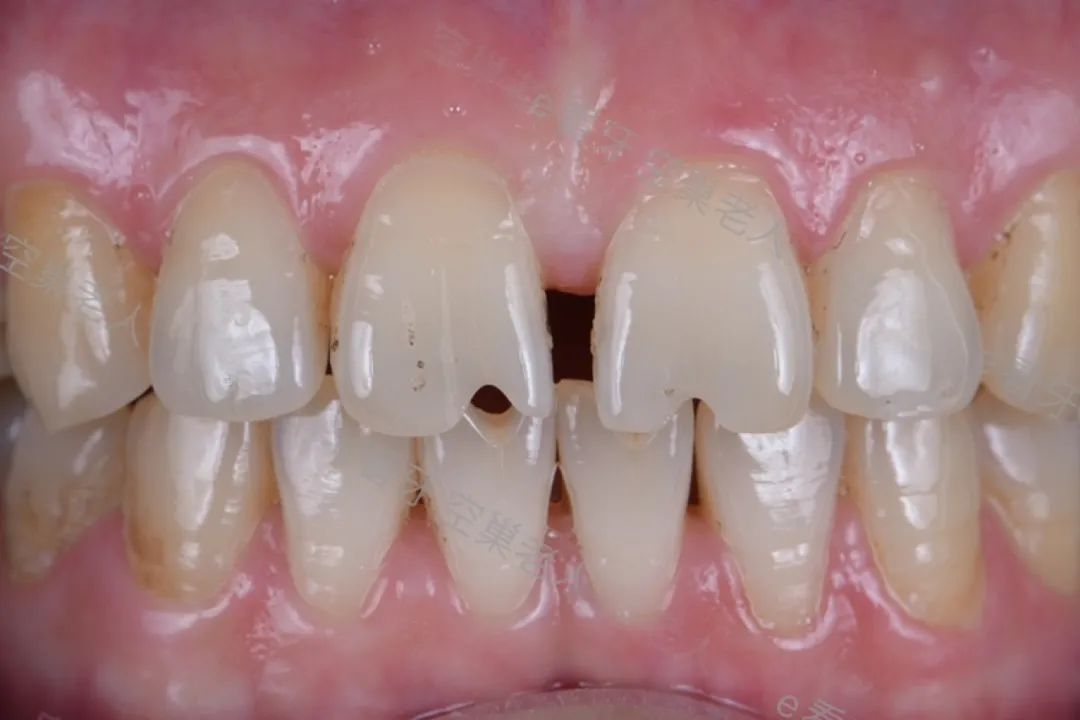
空巢老人:贴面新鲜出炉,后期做美白,当初做6个多好。





病例3
1552****507:长时间缺牙,间隙不足,软硬组织不足,对合伸长,多学科联合修复,历时14个月,现在看来效果还可以,右下7骨头涨势惊人,感叹人的潜能!!!









病例4
GP 牙1李:上午刚完成的病例,请各位指点。








病例5
Dr:Lin:细节处理总是差一些。








# 文末福利
领健口腔·e看牙联合义获嘉伟瓦登特招募IPS e.max ZirCAD易美皓白新品体验官!每家参与活动的诊所都将以200元优惠价格体验价值900元的IPS e.max ZirCAD易美皓白单冠。新品体验官在e看牙社区发表病例及体验心得还可额外获一瓶赠价值300元的Ivoclean修复体内表面口外清洁糊剂!
扫描海报下方二维码立即报名!

e看牙App是专门为口腔从业者打造的专属社区,医生不仅可以通过e看牙App完成日常工作管理、病历书写等工作,还可以分享、讨论病例,学习自我提升。

更多精品病例,登录e看牙App—“发现”中查看。同时,欢迎您积极在社区中分享病例!
扫描下方二维码下载e看牙App,加入讨论

口腔医疗管理软件关于政策解读:诊所全面执行备案制,7月1日起正式施行!
/在: 产品干货-口腔 /通过: 领健君
6月3日,国务院印发的《关于深化“证照分离”改革进一步激发市场主体发展活力的通知》(以下简称《通知》):
自7月1日起,在全国范围内实施涉企经营许可事项全覆盖清单管理,对所有涉企经营许可事项按照直接取消审批、审批改为备案、实行告知承诺、优化审批服务等四种方式分类推进审批制度改革。
《通知》中有 6 项都直接提及放宽对社会办医和诊所审批的限制。包括全面执行诊所备案制、三级以外医疗机构取消“设置医疗机构审批书”、诊所执业由许可管理转为备案管理、对社会办医大型医用设备许可简易审批等。

图片来源:国务院
1
流程精简,审批改为备案
《意见》规定,医疗机构设置规划对诊所不做限制。将诊所设置审批改为备案制管理,举办诊所的,报所在地县(区)级卫生健康行政部门备案,发放《医疗机构执业许可证》后,即可开展执业活动。
许可改为备案,简化了办事程序。过去审批手续至少需要两个多月,要跑很多趟,甚至有的长达半年。如今不用审批,网上填报申报材料即可。这样一来,可能机构的装修还没结束,执业许可证就下来了。
诊所备案所需提交资料
①预登记工商行政管理部门证明材料或登记证明;
②《设置医疗机构申请表》;
③设置申请人的基本情况证明;
④医疗机构主要负责人的基本情况证明;
⑤设置医疗机构可行性分析报告;
⑥建筑设计平面图和科室设置平面图;
⑦选址报告;
⑧场所使用权报告;
⑨《申请设置医疗机构承诺书》。
2
成本降低,放宽诊所面积、资金等标准
以前,诊所准入时,会重点审核诊所的面积、设置、设施等硬件和资金等是否符合规定条件。如2019年国家卫计委官网提出的诊所、医务室的标准中就对面积、建筑、设施、资金等做出了明确规定。
一、至少设有诊室、处置室、治疗室。
二、房屋
(一)建筑面积不少于40平方米;
(二)每室必须独立。
三、设备
(一)基本设备:诊察床、诊察桌、诊察凳、听诊器、血压计、出诊箱、体温计、污物桶、压舌板、处置台、注射器、纱布罐、方盘、药品柜、紫外线灯、高压灭菌设备;
(二)有与开展的诊疗科目相应的其他设备。
四、注册资金到位,数额由各省、自治区、直辖市卫生行政部门确定。
而备案制下,文件明确提出,诊所准入时,审核重点将由“硬件”转为“软件”,重点审核医师资质和能力。只要医师资质符合,可放宽对房屋面积、资金等的要求。意味着医生开办诊所所需的金钱成本进一步压缩。
3
无需辞职,鼓励医师兼职开诊所
以前,一名医师需要辞职才能开办诊所,现在不用辞职,进行多机构执业备案就可以开办诊所,方便体制内的医师灵活开展诊疗活动。
《意见》指出,鼓励在医疗机构执业满 5 年,取得中级及以上职称资格的医师,全职或兼职开办专科诊所;鼓励符合条件的全科医师,或加注全科医师执业范围的专科医师,全职或兼职开办全科诊所。
兼职开办诊所的医师要按照多点执业有关要求,与主要执业医疗机构通过签订协议等形式明确双方的责任、权利和义务,对其在主要执业医疗机构的工作时间、任务量、服务质量和薪酬绩效分配等提出具体要求,确保兼职开办诊所的医师能够完成主要执业医疗机构的工作。
4
入门易,更多强化事后监管
对于实行备案制的诊所,卫生监督部门加强依法执业、医疗质量和医疗安全等监管。
按照规定,诊所要严格依法执业,落实《医疗质量管理办法》《医疗质量安全核心制度要点》等规章制度,加强医疗技术和医院感染管理,落实诊疗与护理规范和指南,规范医疗文书书写和管理,合理使用药物,保证医疗质量安全。同时,要建立信息系统记录诊疗信息,做好就诊患者登记,并按照卫生健康、医疗保障等部门的要求报送和上传诊疗信息。
卫生健康行政部门要在备案后 20 个工作日内对诊所进行现场查验,查验合格的继续执业;查验不合格的撤销备案,终止其执业资格。
事后监管要点提炼
①强化后续监管衔接,通过“互联网+监管”系统推送企业登记信息,对取消审批的事项,及时将相关企业纳入监管范围;对实行告知承诺的事项,及时对企业履行承诺情况进行核查。
②实施信用分类监管,根据企业信用风险分类结果实施差异化监管措施,持续推进常态化跨部门联合抽查。要充分发挥信用监管基础性作用,建立企业信用与自然人信用挂钩机制,依法依规实施失信惩戒。
“证照分离”改革,给予了社会办医相当多的利好,伴随着审批简化、监管加强,这种“外松内紧”的监管模式将会适用于整个口腔行业,而新一轮监管浪潮必将蔓延至全国。在机遇与挑战之下,口腔机构只有规范营业、良性竞争,才能稳扎稳打,行稳致远。
扫码了解
《关于深化“证照分离”改革
进一步激发市场主体发展活力的通知》

如何挑选一款医美软件
/在: 行业文章 /通过: 领健君不管男女都有追求美的权利,如果这个美可以让人神往,那么为此付出努力也是必须的,医美机构为可以提供变美的方法,由于这里客户很多,这就需要使用较好的医美软件,但是软件种类很多,那么如何挑选一款合适的应用软件?
- 一、看软件的种类
任何电脑上所用的软件都是具备不同作用的而且为了保障各行业正常使用,同类软件还会分为不同的类型,选用软件就可以可以根据自己的需要来确定,采用什么规格的医美软件是很多医美行业中比较重视的选择重点,如何行业选择的种类出现偏差就会有不好的反应,所以为了确保其软件的可用性就要懂得从软件种类如何筛选。
- 二、看软件的口碑
由于现在人们愿意花费精力和资金来做医美,所以市场上这个行业发展有上升趋势,且随着医美人群的增加,现在这些机构就需要通过软件来管理客户数据和做好机构管理,确实一些医美软件都可以无偿使用,但是其效果和口碑却千差万别,虽然开始很难直接接触和使用这类软件,但是通过其他客户的反馈口碑还是能确定软件的好坏的。
- 三、看软件的维护价格
医美软件和其他类型的软件一样,其需要根据电脑系统和行业的需求来不断的更新,而更新一个软件除了要进行软件功能的开发以外,还需要进行软件稳定性方面的维护,越是较大型的软件越需要做好其维护工作,很多软件对此不了解,所以其维护价格高或者没有维护服务,因此,挑选一宽合适的软件还要看其维护服务和价格。
医美机构逐渐成为被大众所了解和接受的变美组织,随着这里的客户数量越来越多,这样的机构就需要与可以供应医美软件的机构深入合作,只是事实证明不是所有的软件都适合自己的机构所用,所以懂得掌握挑选合适软件的方法很重要。
使用医美软件有哪些实际意义?
/在: 行业文章 /通过: 领健君现在追求美的人越来越多,于是,提供医美服务的机构也越来越多,而且这些机构为了获得更多人的信任,还会使用医美软件来进行管理。那么,对于医美服务机构来说,使用设计合理的医美软件有什么实际的意义呢?如果对这个问题感到有疑惑,不妨和我们一起来看一看吧。
- 1、获得可靠的流量
人的需求有时候是被开发出来的,为了能够将更多人的医美服务需求开发出来医美软件建立了多种流量渠道,利用这些渠道来展示医美成果或者发布一些专业的医美知识,从而吸引更多的用户并达到低成本获得大量流量的目的。
- 2、规范化经营
对于企业来说,工作越规范需要付出的成本就会越低而且管理效果也会越好。医美软件可以帮助医美服务机构建立一套规范化的管理模式,包括员工管理、客户管理、物料管理、档案管理等等多个方面。让整个服务机构能在十分规范的环境中经营,这样也能提高服务机构的对外形象。
- 3、随时了解经营状况
使用医美软件之后软件系统会自动生成各种数据报表而且还支持利用多种终端形式来登陆与查看,所以经营管理者能够通过医美软件随时随地了解服务中心的经营状况,并且对后期的规划提供运营决策的重要依据,从而让医美服务中心能够有更好的发展前景。
由此可见,医美软件对于医美服务机构来说是有实际意义的,正因为如此,现在各个城市的医美服务机构都纷纷采购专业服务好的医美软件来使用,通过使用这样专业的软件来提高自身的经营管理质量,同时还能获得更多的流量并开发出更多的新客户。
美容医疗管理系统与普通的管理系统有哪些区别
/在: 行业文章 /通过: 领健君医学美容是指使用创伤性或侵入性医学方法(例如特定药物和手术)来修复和完善人脸和身体部位,美容医疗管理系统是方便管理日常的工具。高质量,完善的美容医疗管理系统的医疗损害赔偿责任纠纷的标的一般不大,法律关系相对简单,建议选择具有医学背景和强烈责任感的律师。下面一起来了解一下美容医疗管理系统与普通的管理系统有哪些区别?
- 1、监督的程度不同
美容医疗管理系统必须遵守医疗机构管理条例等法律法规,相关业务,并接受卫生行政部门的监督管理。美容管理系统对生活美容机构的监管相对较低,只需要取得“营业执照”和“公共卫生许可证”即可开业。美容医疗管理系统的主治医师必须同时具有以下要求,具有执业医师资格,由执业医师注册机构注册,具有相关临床学科的工作经验。
- 2、业务范围不同
医学美容机构的美容医疗管理系统根据自己的资格进行的业务是创伤性和侵入性的,例如眉毛纹身,隆鼻,吸脂,祛斑和光子嫩肤。生命美容机构的业务是使用技术,设备和技术为消费者提供在人体表面上的非侵入式和非侵入式服务,例如化妆,面部清洁,精油按摩,修眉等。美容医学机构的美容医疗管理系统从业者可以分为主治医师,助理医师和护士。这些人员应获得卫生行政部门的批准,并经过从业登记程序,然后才能从事医学美容诊断和治疗服务。生命美容机构的人员无需具备资格。
总而言之,美容医疗管理系统与普通的管理系统有的区别是监督的程度不同和业务范围不同。其中负责整容手术项目实施的人员应具有多年以上整容手术或整形手术及其相关专业的临床工作经验;技术先进的美容医疗管理系统建议选择专业人员,许多受害者倾向于选择具有丰富实践经验的合伙人这是很好的。